Clawson Family Dental

Smile Gallery

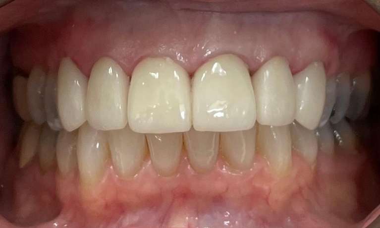
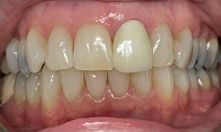
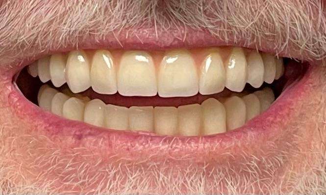
Our smile gallery showcases real patients with real results. Call us for more information or to schedule your appointment. 

Ready to book an appointment?
Extremely Kind

Buffy was extremely kind. She understood my anxiety over having my teeth cleaned
with COVID still a concern. I had not had my teeth cleaned since 2019, and while
taking good care of my teeth, I was expecting a somewhat painful cleaning
experience; Buffy was very gentle and did a fantastic job. This was my first time
meeting Dr. Stachel, he was also very kind. I will absolutely remain a patient.

If you have difficulty using our website, please email us or call us at (248) 288-6070
View the ADA Accessibility Statement
Privacy Policy